[월:] 2025년 07월
출처 : 동아사이언스 링크 : https://v.daum.net/v/20250723115547526 요약 : 허원도 생명과학과 석좌교수팀이 단백질 및 mRNA를 빛으로 원하는 시점에 저장하고 방출할 수 있는 릴리저 기술을 개발하였다고 23일 밝혔다. 연구팀은 청색광을 조사하면 분해되고 빛이 없는 암흑 상태에서 재조립되는…
출처 : 서울경제 링크 : https://v.daum.net/v/20250723014637975 요약 : 부산경찰청 사이버수사과에 따르면 2019년부터 약 6년간 자녀 보호용 앱으로 위장하여 배우자나 연인을 감시할 수 있는 앱을 3개월에 약 150~200만원에 판매한 대표 A씨 및 직원 2명을 지난 22일…
시험도 끝나고 생기부 작성도 거의 마무리되어 가는 시점이다. 이 시점을 한 줄로 표현하자면 고요함 속의 불안함 또는 평화로움 속 불안함이다. 지금 시점 만큼 나태해지고 시간이 남는 경우는 흔치 않은데, 이때 학생들은 다양한 선택을 한다. 오락,…
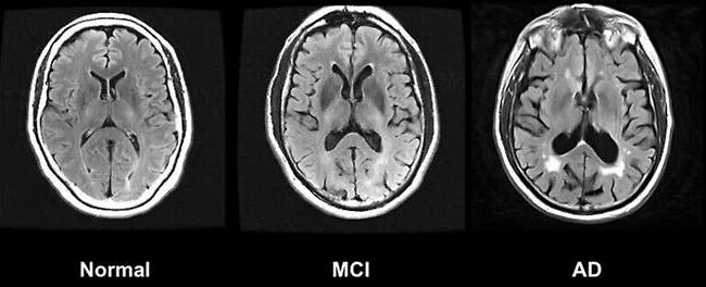
출처 : 한겨레 링크 : https://v.daum.net/v/20250716093627312 요약 : 신경퇴행성 질환은 전 세계의 약 6900만명이 앓고 있으며 매년 증가할 것으로 예상되어 전세계적인 보건 문제로 여겨져왔다. 국제 공공-민간 연구협력기관인 ‘글로벌 신경퇴행성 단백질체학 컨소시엄’(GNPC)은 2억5000만건 이상의 측정값이 포함된…
출처 : 한국경제TV 링크 : https://v.daum.net/v/20250718121543813 요약 : 지난 17일 미국에서 한 60대 남성이 자기공명영상장치 검사실에 허가 없이 들어갔다 기깅 빨려들어가 중태에 빠지는 사고가 발생했다. 원인은 남성이 착용한 금속 목걸이로, MRI 가동시 엄청난 자기장이 형성되어…
시험의 끝과 방학 사이의 어딘가, 가장 공허하고 어쩌면 무기력한 시간이다. 학교에서도 별다른 활동 없이 자습을 하거나 놀 뿐 어떤 의미있는 활동을 하기는 힘들다. 보내주면 제대로 놀거나 공부라도 하겠지만 학교라는 공간에서는 모든 것이 쉽지 않았다. 성적이…
자기활동 평가 1. “When times get tough, we don’t give up. we get up.“ 삶을 살아가다 보면 크고 작은 위기를 겪게 되고 그 위기가 클 때 우리는 극심한 스트레스와 피로감, 우울감을 느끼게 된다. 이…
출처 : 동아사이언스 링크 : https://www.dongascience.com/news.php?idx=72159 요약 : 중국 화동사범대와 스웨덴 룬드대 공동 연구팀은 국제학술지 ‘셀 리포츠 지속가능성’에 리튬 수요와 향후 공급 가능성 등을 분석하여 도출된 결론을 게재했다. 연구팀은 리튬 광산 개발이 모두 실행된다 할지라도…
출처 : 데일리안 링크 : https://v.daum.net/v/20250620060123724 요약 : 양극재 시장이 중국이 장악한 리튬인산철(LFP)로 급속히 이동하고 있다. 핵심이라 할 수 있는 리튬은 현재 가격 급락으로 인한 공급 구조의 불안정과 미국의 인플레이션감축법(IRA)과 관세 강화 정책으로 인해 국제에너지기구(IEA)는…
기나긴 시험 기간이 끝나고 새로운 주가 다가왔다. 시험이 끝난 다음 주부턴 학교에서는 보통 프로젝트 수업이나 생기부 작성을 하는 등 상당히 중요한 시즌이 다가오는데, 막판에 몰아서 자기평가서, 보고서를 받는 경향이 강하기 때문에 때론 힘들기도 하다. 그래도…