빌 게이츠 “치매, 사형선고 아닌 날 임박”…세계 최대 단백질 데이터 완성

출처 : 한겨레

링크 : https://v.daum.net/v/20250716093627312

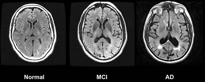
요약 : 신경퇴행성 질환은 전 세계의 약 6900만명이 앓고 있으며 매년 증가할 것으로 예상되어 전세계적인 보건 문제로 여겨져왔다. 국제 공공-민간 연구협력기관인 ‘글로벌 신경퇴행성 단백질체학 컨소시엄’(GNPC)은 2억5000만건 이상의 측정값이 포함된 신경퇴행성 질환 관련 단백질 데이터세트를 완성하고 네이처 메디신에 논문을 발표하였으며, 연구진은 이와 같은 데이터가 조기 진단 및 예후 개선에 도움을 줄 것으로 기대하고 있다. 빌 게이츠는 알츠하이머병 진단이 더 이상 사형 선고가 아닌 날이 그 어느 때보다 가까워졌다며 긍정적인 태도를 보였다. 오스트레일리아 시드니대의 케이틀린 피니 교수가 중심이 된 연구진, 미국 스탠퍼드대의 토니 와이스-코레이 교수가 중심이 된 연구진 등은 단백질의 변화가 인지 기능과 어떤 상관관계가 있는지 밝혀내며 새로운 치료법을 밝혀내고 있는 가운데, 빌 게이츠는 최근 미국 국립보건원(NIH)과 다른 정부 기관의 예산 삭감 등으로 데이터 세트 핵심 구성 요소인 최첨단 생화학 지문 데이터 공급이 중단될 위기에 처해 있으며 치매에 대한 새로운 흐름을 만들어낸 시점에 서 있는 지금 연구를 중단해서는 안된다고 강조하고 있다.

한 줄 요약 : 국제 공공-민간 연구협력기관인 ‘글로벌 신경퇴행성 단백질체학 컨소시엄’(GNPC)은 2억5000만건 이상의 측정값이 포함된 신경퇴행성 질환 관련 단백질 데이터세트를 완성하였으며, 빌 게이츠는 치매에 대한 새로운 흐름을 만들어낼 시점에 예산 삭감 등으로 인해 연구를 중단하는 상황은 벌어져서는 안된다고 거듭 강조하고 있다.